North Houston Cancer Clinics

Multiple Myeloma Cancer

At North Houston Cancer Clinics, we take control of your multiple myeloma cancer care journey. We have the best professionals and qualified staff to provide numerous effective myeloma treatments. Discover the best diagnostic procedures with the support and guidance that every patient needs. Contact North Houston Cancer Clinics to take the next step in your multiple myeloma diagnosis with us.

What Is Multiple Myeloma Cancer?

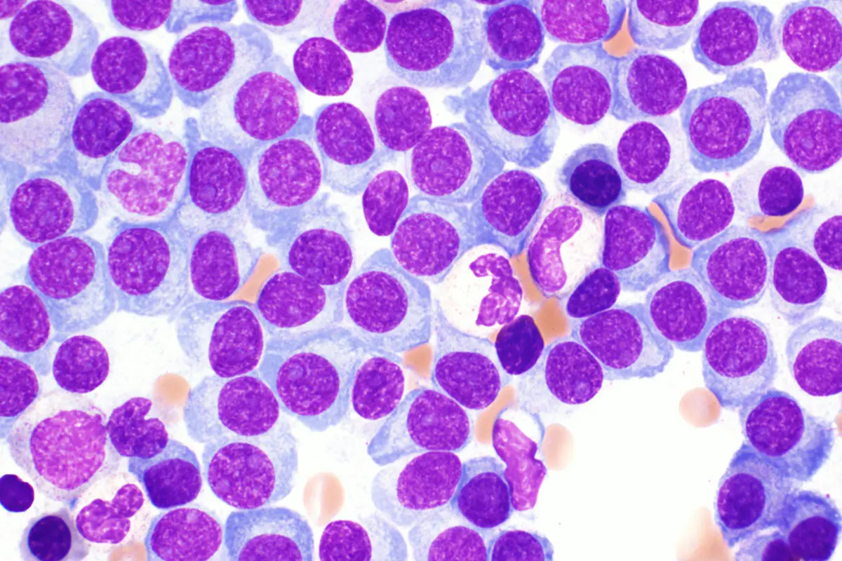
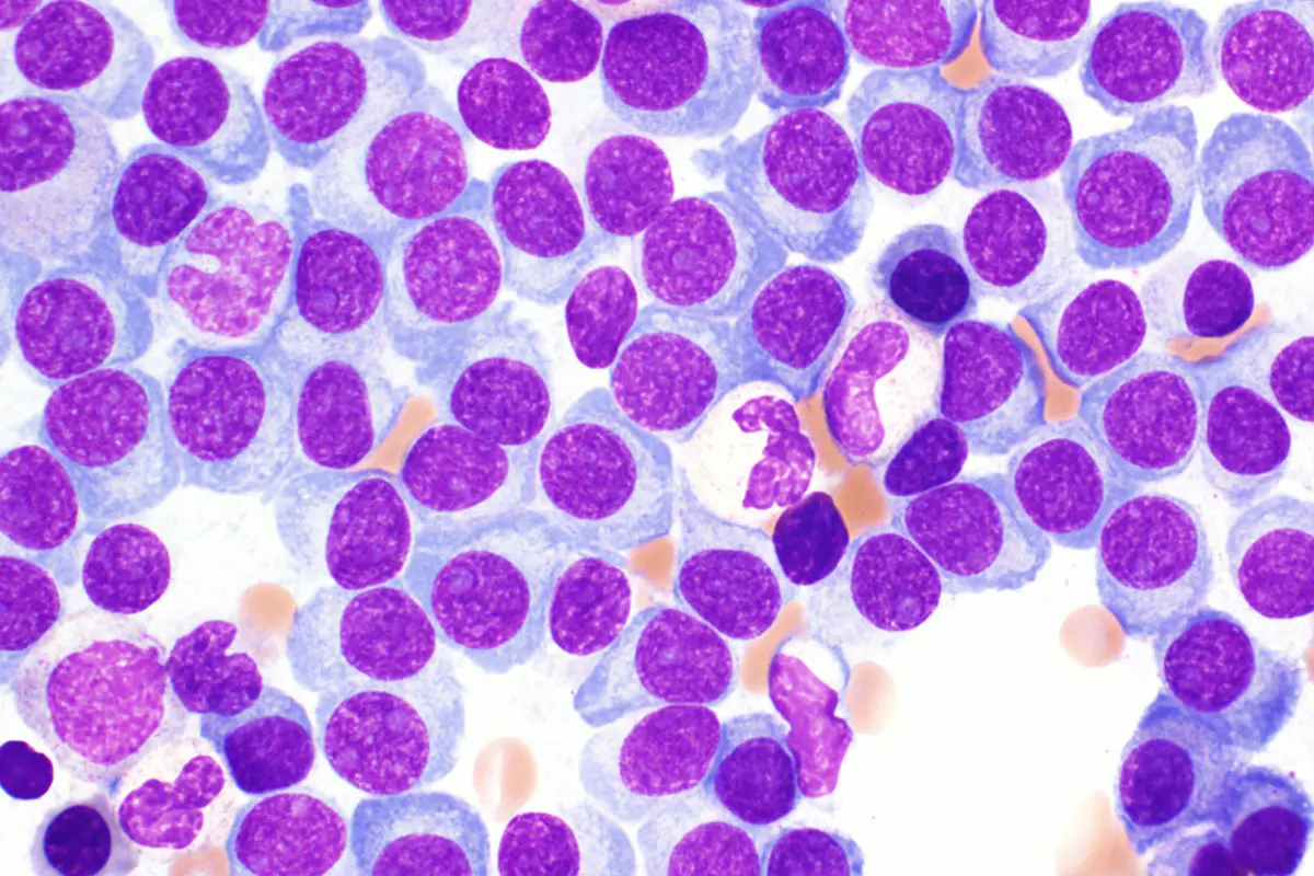
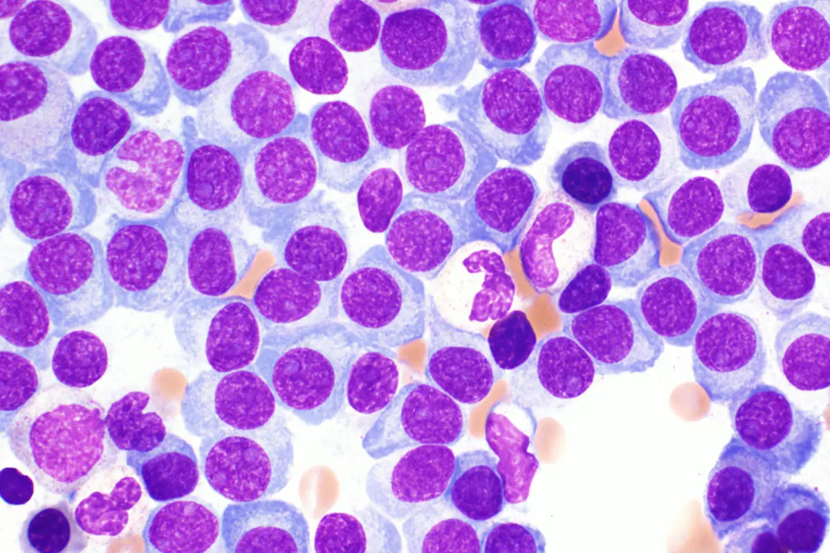
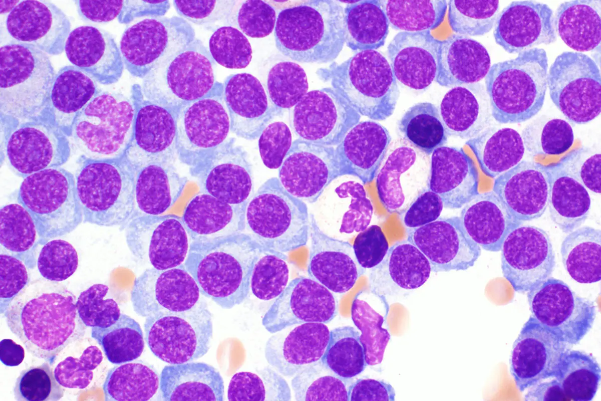
Multiple myeloma is a condition of blood cancer that starts to grow in the plasma cells in your bone marrow. Bone marrow consists of soft tissue that is present in your bones. In normal conditions, the bone marrow produces plasma cells to make antibodies, which will become a part of your body’s immune system. These antibodies help your body prevent infections and other foreign bodies. In multiple myeloma, plasma cells grow into abnormal cancer cells and stop the antibodies from protecting your body from diseases. Malignant plasma cells produce an abnormal M protein antibody, considered the most characteristic of multiple myeloma.
Prostate Cancer Treatments​

Multiple Myeloma Cancer Treatments

Multiple myeloma treatment is not required for the early stages as the patients showed no symptoms. But in the condition of growing cancer without showing any signs and symptoms, it will become a significant threat. There are so many options available for the multiple myeloma diagnosis and multiple myeloma treatment for patients who are not showing any symptoms.

Suppose a patient shows no symptoms of multiple myeloma. In that case, the first step in treating multiple myeloma is to perform various tests to confirm the existence of myeloma cells in the blood. These treatments will help relieve the patients from complications and symptoms.
Multiple Myeloma treatments might include :

Specific Targeted Therapies

This treatment option includes medications that directly affect the target cancer cells. They will block the chemicals that cause cancer cells to grow abnormally and kill them.

Immunotherapy
Immunotherapy is a good option for multiple myeloma treatment. It involves giving patients immune-active agents to increase their ability to fight cancer. Immunotherapy enhances the immune system’s ability to find and kill myeloma cells.

CAR-T Cell Therapy:
CART-T stands for chimeric antigen receptor T cell therapy, which involves removing your body’s cells and treating them in the laboratory to make them special receptors that help detect and kill myeloma cells when they return to the body.

Prostate Cancer diagnosis​
Causes and Risk Factors of Prostate Cancer​

Multiple Myeloma Cancer Diagnosis

Multiple myeloma diagnosis includes many different diagnostic tests and procedures, which will depend upon signs and symptoms.

Blood Tests
Blood testing is necessary to observe the amount of M protein in patients ‘ blood as it shows the occurrence of multiple myeloma.

Urine Tests
It includes examining urine samples. The results will show the presence of M protein in the urine, which causes multiple myeloma. These proteins are named Bence Jones Proteins.

Bone Marrow Tests
There are two methods for multiple myeloma diagnosis related to bone marrow. The first is bone marrow aspiration, while the other is biopsy. Bone marrow consists of fluid and a solid part. In bone marrow tests, a fluid sample is taken out through a needle for bone marrow aspiration, while in bone marrow biopsy, a substantial part is taken through the needle.

Risk Factors of Multiple Myeloma Cancer

Multiple myeloma diagnosis depends upon the factors and warning signs that cause this cancer. Following are some factors that increase the chances of multiple myeloma

  1. People older Than 50 are more likely to develop multiple myeloma. The chances of getting myeloma increase with age.
  2. Black people are more likely to get multiple myeloma than other people.
  3. Being male is also a significant factor in getting multiple myeloma.
  4. Inheritance also plays a significant role, and having a past family history of multiple myeloma will increase the risk of this cancer.

Common Complications Of Multiple Myeloma Cancer

  1. Getting Serious Infections because your immune system is not working increases your body’s ability to protect you from infections.
  2. Bone pain, bone infections, and broken bones are also included in the list of complications caused by multiple myeloma.
  3. Multiple myeloma also causes kidney problems and infections that can also develop into kidney cancer.
  4. Anemia is a disease that causes low red blood cell count as the cancer cells in myeloma crowd out the normal cells, which causes different blood diseases.
Symptoms of Prostate Cancer​
Occurrence of Multiple Myeloma Cancer​

Occurrence of Multiple Myeloma Cancer

Multiple myeloma commonly occurs in the male gender, according to the research. In the United States, the risk of males getting multiple myeloma is about 1 in 100 for men. About 95% of diagnosed cases are of age above 50 years.

At North Houston Cancer Clinics, we are available with highly used technology and expert technicians to help you with dedication in the cancer care journey.

Frequently Asked Question

Commonly reported signs and symptoms of multiple myeloma include constipation and pain in the bones and back, with feelings of tiredness and weakness. Some patients might feel nausea and loss of appetite. Mental confusion is also a common sign; some patients might experience this.
When your doctor suspects multiple myeloma, the diagnosis process is relatively straightforward. Some assays, including electrophoresis technique and immunofixation, have to be performed for detection. After that, a bone marrow biopsy.
Smoldering multiple myeloma is considered the first stage of multiple myeloma. Whenever you experience numerous myeloma, you will not get to show any symptoms, but your test results show it is positive. In this scenario, your body makes cancerous cells in the bone marrow.
The spinal cord is the most affected skeletal organ in multiple myeloma because of the combined effects of disease and factors with multiple myeloma. Some other renal infections are also a factor of mortality.