North Houston Cancer Clinics

Peritoneal Cancer

At North Houston Cancer Clinics, we take control of your multiple myeloma cancer care journey. We have the best professionals and qualified staff to provide numerous effective myeloma treatments. Discover the best diagnostic procedures with the support and guidance that every patient needs. Contact North Houston Cancer Clinics to take the next step in your multiple myeloma diagnosis with us.

What is Peritoneal Cancer ?

Peritoneal cancer is relatively rare, and, therefore, it attacks the peritoneum, a single layer of tissue that lines the abdomen. It poses difficulties in diagnosis due to its subtle symptoms and their complex nature.

The benefits that lie underneath due to proper treatment, as well as a few other essential details, would undoubtedly deepen your understanding of the condition.
Peritoneal Cancer Treatment Options​

Peritoneal Cancer Treatment Options

The therapy can precisely follow some steps: surgery to remove part or all of the affected area, radiotherapy can destroy the cancer cells that are left in case surgery is not performed, and chemotherapy can help reduce the chance of peritoneal cancer coming back and spreading. Treatment to destroy any remaining cancer cells if the cancer has spread elsewhere. Treatment varies based on the cancer stage and patient health, including:

  1. Surgery: To remove as much of the cancer as possible.
  2. Chemotherapy: Often used before or after surgery to shrink tumors or eliminate remaining cancer cells.
  3. Targeted Therapy: Focuses on specific molecules and cell mechanisms to halt cancer growth.

Peritoneal cancer may be complex, but it is treatable, mainly if found at its nascent stage. Awareness of the risk factors, symptoms, and regular consultation may significantly impact outcomes. If you understand that you are at risk or have some of the symptoms of peritoneal disease or cancer, then it is necessary to seek medical care promptly to manage the above successfully.

Benefits of Early Detection Of Peritoneal Cancer

An early diagnosis of peritoneum cancer can lead to far better treatment outcomes. There is no established screening process, but people at risk should stay observant of their health and learn from the doctor about the possible ways of monitoring it. Early treatment benefits include:

  1. Increased survival rates: Early-stage diagnosis often results in effective treatments and improved survival rates.
  2. Improved Quality of Life: Effective management of symptoms can enhance comfort and overall well-being.
  3. Potential for Curative Treatment: Early intervention often offers a potential cure.
Benefits of Early Detection Of Peritoneal Cancer​
Risk Factors Peritoneal Cancer​

Risk Factors Peritoneal Cancer

The exact cause of peritoneal cancer is not known, but some factors may increase the risks of a person getting the disease. They are:

  1. Sex: Female—when there has been previous history related to the ovary or breast cancer; else, in all the other cases, the development was found to be of peritoneal cancer.
  2. Genetic Mutations: Individuals with BRCA1 or BRCA2 gene mutations face a higher risk.
  3. Age: The risk increases with age, particularly after 60.
  4. Endometriosis: This condition is associated with a slightly elevated risk of peritoneal cancer.
  5. Family History: A family history of peritoneal, ovarian, or breast cancer can increase risk.

In-Depth Look at Peritoneal Cancer: Understanding Its Nature and Variants

It is a relatively rare malignancy arising from the peritoneum, a serous lining of the abdomen covering most organs found inside the abdomen.

It is important to understand this cancer, despite its rarity, for grave implications are carried, and even more so because it has to do with the peritoneum. The peritoneum supports many vital organs belonging to the body; therefore, it has to be one of the most important spaces in the body, and cancer in the region would be pretty impactful. In the most general classification, the disease can take several forms depending on the place of its origin: primary and secondary peritoneal cancers. 

Primary peritoneal cancer (PPC) is the one to develop directly in the peritoneum and very often bears some features and behaviors similar to those of ovarian cancer, forming common misconceptions about its nature.

The former, on the other hand, happens when cancer cells break away from another organ in the body, such as the colon, stomach, or ovaries, and spread to the peritoneum.

Therefore, those experiencing such symptoms must be aware and consult a doctor in time. Typically, peritoneal cancer symptoms and signs are pretty general, making early diagnosis very hard. 

The most common symptoms include localized abdo minal pain/distension, altered bowel habits, and unexplained loss of weight or fatigue. Time and again, the symptoms are vague, so you need to be extra aware to consult a doctor in time.

Frequently Asked Question

The reasons for peritoneal cancer are not well known, but it is associated with genetic mutations, having a history of abdominal surgery, or chronic irritations of the peritoneum. Another risk factor could be certain inherited genetic conditions like Lynch syndrome or BRCA mutations.
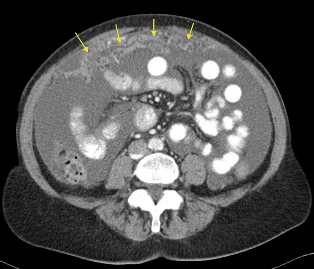
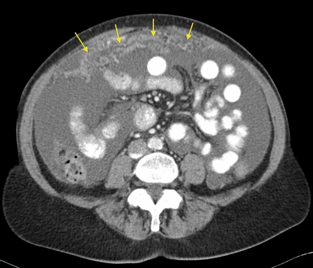
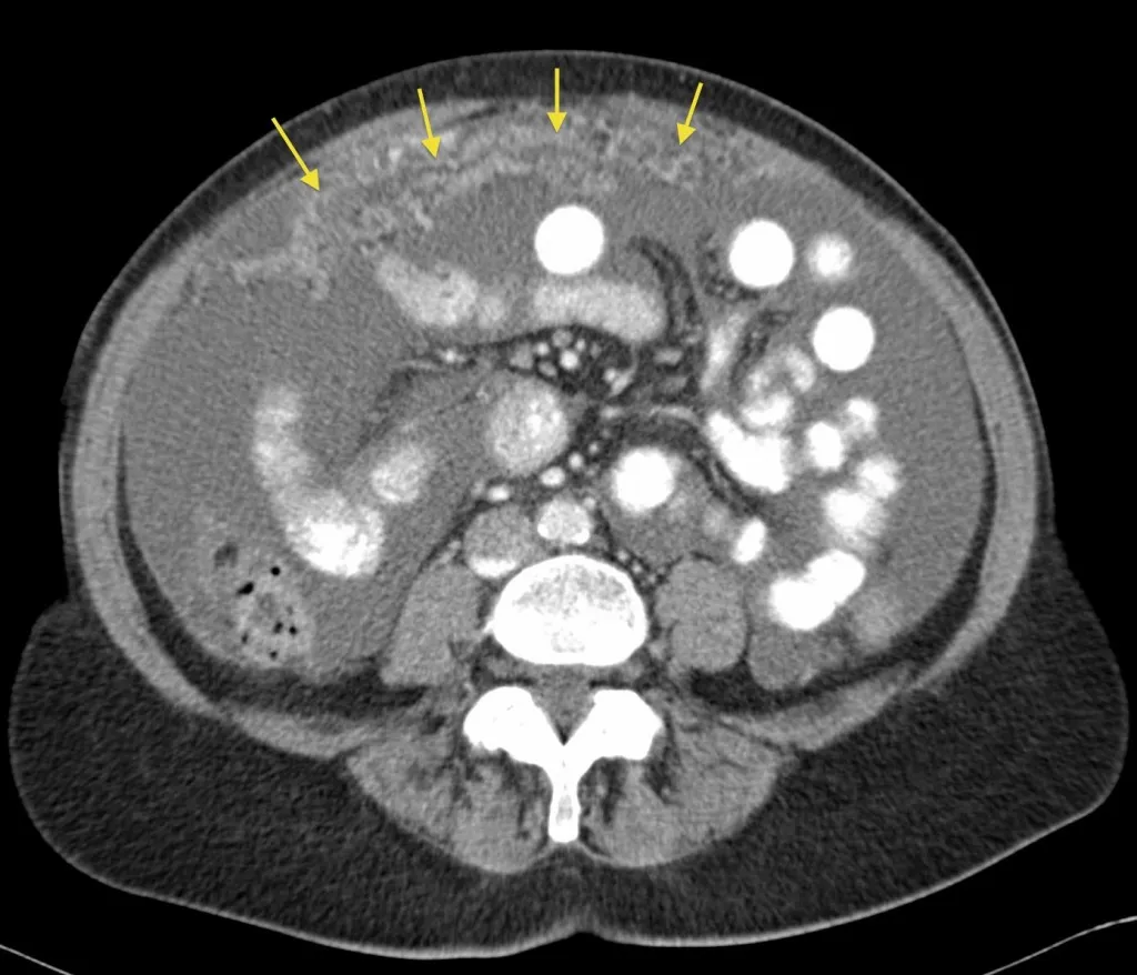
Diagnosis usually arrives through imaging tests showing the abdomen, either by CT scan or MRI, blood tests aiding in detecting some markers, and, conclusively, a biopsy to confirm the spread of cancerous cells.
Treatment includes surgery to remove the tumor, chemotherapy to kill cancer cells, and, in some cases, targeted therapy or immunotherapy, which can act on specific parts of the cancer cells
There are no definite recommendations to prevent one from getting peritoneal cancer but adopting a healthy lifestyle, knowing family history, and taking genetic counseling if you are at high risk. It can help you keep the risk factors within management. Seek medical check-ups at regular intervals; it will help in the early detection of any abnormality.